어려운 케이스일수록,
경험이 답입니다
고난이도 임플란트

웃는얼굴치과는 풍부한 경험과 전문성을 바탕으로
일반적인 케이스는 물론,
고난이도의 임플란트 수술까지
안전하게 진행합니다.

뼈 이식이나 발치 즉시 식립 등 까다로운 조건에서도 정밀 진단과

체계적인 시술 시스템으로 환자 맞춤형 치료를 제공합니다.

  • 고난도 임플란트 전문 진료

    웃는얼굴치과는 난이도가 높은
    임플란트 수술까지 정밀한 진단과 계획을
    바탕으로 안전하게 치료합니다.

  • 풍부한 임상 경험과 맞춤 진단

    다양한 케이스에서 축적된 풍부한 임상 경험을
    토대로, 환자별 구강 상태를 세밀하게 분석하여
    최적의 임플란트 수술을 제공합니다.

  • 분야별 협진 시스템

    임플란트 전문 의료진이 체계적으로 협력하여,
    종합적이고 정확한 진단과 치료를 진행합니다.

치과의사를 지도하는 노하우
스마일 임플란트

치과의사를 가르치는 미국NYU츨신 웃는얼굴치과의 강혁권 원장이
풍부한 임상경험과 기술을 바탕으로 건강한 치아를 만들어드립니다.
치료의 시작부터 사후 관리까지, 안전하고 체계적인
임플란트 솔루션을 제공합니다.

POINT 01 원데이 세렉 당일 보철물 완성
POINT 02 수술 공포증을 줄여주는
수면 임플란트
POINT 03 임플란트 연구 자문치과
POINT 04 맞춤 뼈이식 ·
자가치아 이식재 사용
POINT 05 임플란트 정품 인증서 발급
POINT 06 저통증 마취 시스템
POINT 07 네비게이션 임플란트 시스템
임플란트 보철과 의료진
강혁권 원장
  • 서울대학교 치과대학 치의학대학원 치의학교육연수원
  • 연세대학교 교정과RESIDENCY
  • 미국NYU심미보철과정 수료
  • 전)서울대학교 치과대학 치의학교육연수원 17기 동창회장
  • (사)MEAW교정 연구회 회원

  • 대한치과 교정학회 정회원
  • 대한치과 마취과학회 정회원

  • 베이지대학교 치과대학 임플란트 라이브 서져리 시연
  • KBS'소비자고발'자문 치과 패널

평생 함께하는 임플란트 관리
임플란트 평생 구강 관리실

임플란트 시술 후에도 평생 건강한 치아를 유지할 수 있도록
체계적인 구강 관리 프로그램을 제공합니다.
정기 검진과 맞춤 관리로 임플란트의 안정성과
구강 건강을 최우선으로 지켜드립니다.

  • 임플란트
    정품인증서 발급
  • 식립부위
    주위 염증관리
  • 확실한
    임플란트 AS
  • 정기적인
    리콜서비스
  • 올바른 구강관리
    교육 가이드

검증된 기술과 세심한 관리로
특별한 임플란트
웃는얼굴치과의 특별함

웃는얼굴치과의 임플란트는 단순한 시술이 아니라,
환자 한 분 한 분의 평생 구강 건강을 생각합니다.
정확한 진단과 검증된 임플란트 시스템, 전문 의료진의
세심한 케어를 통해 자연스러운 기능과 아름다운 미소를 완성합니다.

8천여건의 다양한
임플란트 수술 케이스

다년간 축적된 8,000여 건 이상의
임플란트 수술 경험을 바탕으로,
환자 개개인의 구강 구조와
상태에 최적화된 안전하고 정확한 시술을 제공합니다.

치과의사를 가르치는
강혁권 원장의 임플란트 노하우

미국 NYU 출신으로 임상 경험과 교육 경력을 겸비한
강혁권 원장의 전문 노하우로,
단순 시술이 아닌
과학적이고 체계적인 임플란트 치료를 제공합니다.

사이즈 조절이 가능한
임플란트 크라운 &
10년 보증 시스템

환자 개개인의 치아 형태와 구강 구조에 맞춘 맞춤형 크라운
제작으로, 자연스러운 기능과 심미성을 동시에 제공합니다.

또한 임플란트 10년 보증 시스템으로
장기간 안심하고 사용하실 수 있습니다.

원데이 세렉으로
당일 보철물 완성 &
통증없는 수면 임플란트

최신 원데이 세렉 시스템을 활용하여,
당일 내로 맞춤형 보철물을 완성할 수 있습니다.

또한 통증 걱정 없는 수면 임플란트로 환자가 편안하게
치료를 받을 수 있어 공포감을 덜어내실 수 있습니다.

안정성이 입증된
정품 임플란트만을
사용합니다

웃는얼굴치과에서는 안정성이 입증된 정품 임플란트만을 사용하여
믿을 수 있는 수술을 진행합니다.
고품질의 임플란트로 오래도록 편안하게 잘 사용할 수 있습니다.

검증된 기술로 완성하는
건강한 미소
오스템 임플란트

오스템 임플란트는 세계적으로 검증된 안정성과 내구성을
자랑하는 임플란트입니다.

정밀한 설계와 품질 관리로 장기적인 안정성을 보장하며,
환자 개개인의 구강 상태에
맞춘 맞춤형 시술이 가능합니다.

  • 면역 거부반응이 적습니다!

    인공 치근에 칼슘 이온 성분이 첨가되어있어
    면역 거부 반응이 현저히 적습니다.

  • 골유착이 뛰어납니다!

    SLA라는 표면처리 기술이 적용되어
    임플란트가 잇몸뼈에 단단하게 유착됩니다.

  • 임플란트 성공률이 높습니다!

    일반 임플란트보다 골유착 성능이 30%
    향상되어 임플란트 성공률이 높습니다.

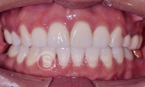
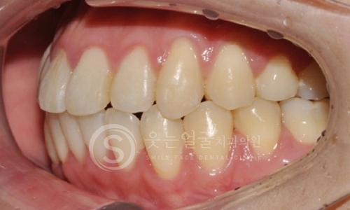
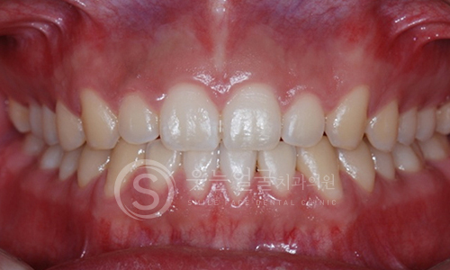
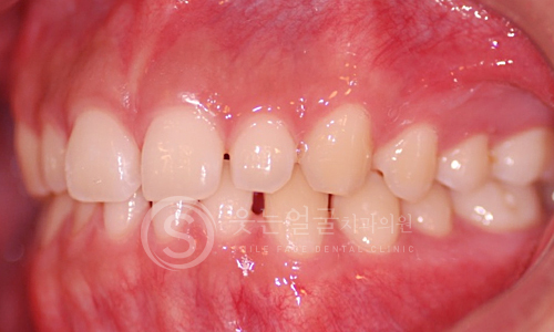
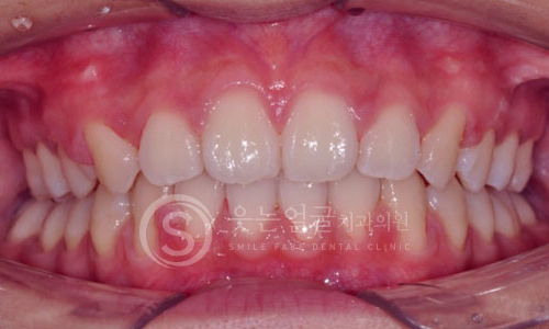
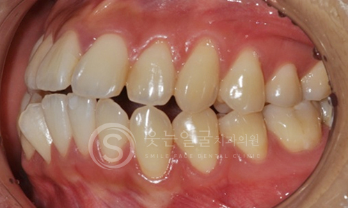
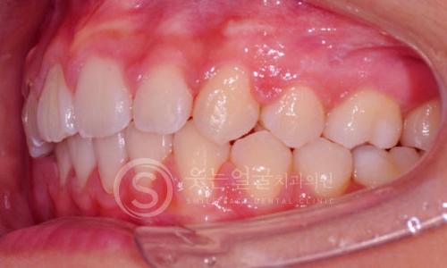
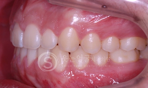
한눈에 보는
임플란트 전후사진

View more

REAL
REVIEW
웃는얼굴치과 리얼스토리

View more
빠른상담신청
[보기]
Contact
031-231-2879
월, 화, 목
AM 10:00 - PM 07:00
수, 금
AM 10:00 - PM 09:00 (야간진료)
점심시간
PM 01:00 - PM 02:00
토 요 일
AM 10:00 - PM 02:00

* 공휴일 및 일요일은 휴진입니다.

* 토요일은 점심시간 없이 진료힙니다.

Location

경기도 수원시 팔달구 권광로199
세영빌딩 5층 웃는얼굴치과

  • [ 지하철 ] 수원시청역 8번출구 방면,
    스타벅스 인계점 건물 5층
  • [ 버스 ] '중소기업은행' 하차
    맞은편 '뉴코아아울렛' 하차
주차안내
건물 내 지하 7층 대형주차장 완비
  • 주소 : 경기도 수원시 팔달구 권광로199 세영빌딩 5층 웃는얼굴치과
  • 대표 : 강혁권
  • 사업자등록증번호 : 365-19-00535
  • TEL : 031-231-2879
  • FAX : 031-231-2878
COPYRIGHT © SMILE FACE DENTAL. ALL RIGHTS RESERVED.