모두에게
똑같은 교정은 없습니다
증상별 맞춤 치아교정

환자마다 치아 배열과 증상은 모두 다릅니다.

우리 치과는 덧니, 벌어짐, 돌출입, 주걱턱 등 다양한 증상별로

정확한 진단을 바탕으로 맞춤형 교정치료를 제공합니다.



단순히 치아를 가지런히 만드는 것을 넘어,
얼굴의 조화와 건강한 교합까지
고려한 치료 계획을 세워
환자 한 분 한 분께 가장 적합한 교정 결과를 약속드립니다.

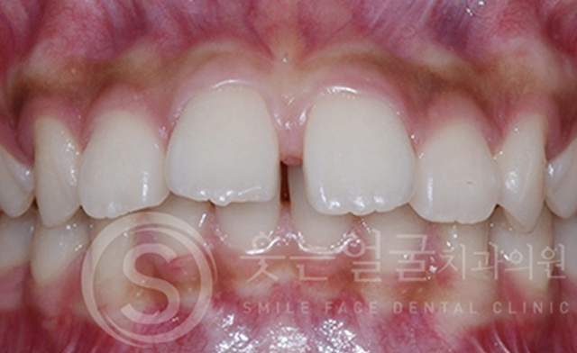
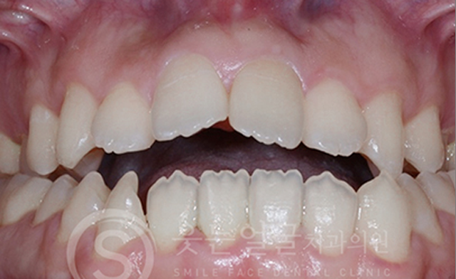
TYPE 01
개방교합

치아 배열이 가지런하지 못하거나 앞니끼리 물리지 않을 경우를 말합니다.

개방교합일 경우 발음이 부정확하거나, 앞니로는 음식물을 씹을 수가 없고,
입이 항상 벌어져 있는 현상이 발생을 하며 개방교합은 방치할 경우
더욱 심해질 수 있으므로 정확한 진단이 필요합니다.

TYPE 02
돌출

코 끝이나 턱 끝에 비해 입이 앞으로 나온 상태를 말합니다.

돌출입일 경우 입을 편안하게 다물지 못하며 화가 난 인상을 주기 쉽습니다.

치아 와 잇몸이 나와 있는 것을 들어가게 해주는 치료가 필요합니다.

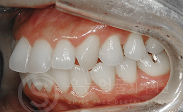
TYPE 03
벌어진 치아

치아 사이 공간이 심한 경우, 치아 개수가 부족하거나 크기가 작은 경우에
배열이 좋지 않은 경우에 발생합니다.

치아가 잘 맞물리지 않는 불편함이 있기 때문에 치아를 적절한 위치로
이동시켜 그 틈을 없애주는 교정치료가 필요합니다.

TYPE 04
주걱턱

아래턱이 돌출되어 있으며, 아래치아가 위에 있는 치아보다
앞으로 나온 경우를 말합니다.

이럴경우 발음, 음식물 저작등의 기능들이 떨어질수도 있습니다.

위턱과 아래턱 부조화가 심하지 않을경우 교정만으로도 치료가 가능합니다.

TYPE 05
토끼이

앞니 대문니 2개가 유난히 튀어나오고 도출되어 있는 상태를 말합니다.
튀어나와 있는 앞니 때문에 장난스러운 인상을 줄 수 있으며
앞니에 부분적으로 선택한 교정으로 치료가 가능합니다.

TYPE 06
틀어진 치아

치아의 크기나 형태 위치 등의 이상으로, 영구치의 배열 공간이 부족하여
삐뚤빼뚤 하거나 겹쳐서 난 상태, 저작, 심미,발음 등의 문제 유발이 가능합니다.

충치, 잇몸질환 야기하는 원인이 되기도 합니다.

체계적인 교정치료를
약속드립니다
웃는얼굴치과의 특별함

환자 개개인의 치아 상태와 얼굴 균형을 정밀하게 분석하여,
맞춤형 교정 치료 계획을 수립합니다.
치료 과정 내내 환자의 편안함과 만족을 최우선으로 생각하며,
건강한 미소를 오래도록 지킬 수 있도록 최선을 다합니다.

3천건이 넘는 다양한
교정치료 결과 보유

다년간 축적된 풍부한 임상 경험으로
다양한 치아 구조와 교정 케이스에 대응 가능합니다.
환자 개개인에게 최적화된 치료 결과를 제공하며,
믿을 수 있는 성과를 자랑합니다.

검증된 정품 교정제품 사용 &
교정전담 치과위생사

안전성과 효과가 입증된 정품 교정장치를 사용하며,
전문 교육을 받은 교정 전담 치과위생사가 세심하게 관리합니다.
치료 과정 전반에서 높은 수준의 안전과 위생을 유지합니다.

환자별 1:1 맞춤 치료계획 &
분야별 의료진 협업

환자의 치아 상태와 얼굴 균형을 고려한
맞춤형 치료 계획을 수립합니다.
교정, 보철, 턱관절 등 각 분야 전문 의료진이
긴밀하게 협력하여 최상의 치료 결과를 도출합니다.

한눈에 보는
치아교정 전후사진

View more

REAL
REVIEW
웃는얼굴치과 리얼스토리

View more
빠른상담신청
[보기]
Contact
031-231-2879
월, 화, 목
AM 10:00 - PM 07:00
수, 금
AM 10:00 - PM 09:00 (야간진료)
점심시간
PM 01:00 - PM 02:00
토 요 일
AM 10:00 - PM 02:00

* 공휴일 및 일요일은 휴진입니다.

* 토요일은 점심시간 없이 진료힙니다.

Location

경기도 수원시 팔달구 권광로199
세영빌딩 5층 웃는얼굴치과

  • [ 지하철 ] 수원시청역 8번출구 방면,
    스타벅스 인계점 건물 5층
  • [ 버스 ] '중소기업은행' 하차
    맞은편 '뉴코아아울렛' 하차
주차안내
건물 내 지하 7층 대형주차장 완비
  • 주소 : 경기도 수원시 팔달구 권광로199 세영빌딩 5층 웃는얼굴치과
  • 대표 : 강혁권
  • 사업자등록증번호 : 365-19-00535
  • TEL : 031-231-2879
  • FAX : 031-231-2878
COPYRIGHT © SMILE FACE DENTAL. ALL RIGHTS RESERVED.